Rickets Sequela

Metabolic bone diseases are a group of diseases in which there is disruption of the growth plate and bone mineralization is defected, they are seen mostly in children. Although these diseases are rare, they can cause significant bone deformities and cosmetic problems, especially at the lower extremity. They are either congenital or have genetic origins like hypophosphatemic rickets, or are acquired like renal osteodistrophy.

Hypophosphatemic rickets is a group of disorders which include various metabolic diseases like X-linked hereditary hypophosphatemic rickets, vitamin D-resistant rickets and renal osteodistrophy. The common laboratory findings are normal or slightly low derum calcium level, low serum phosphate level due to phosphaturia, and high ALP level.

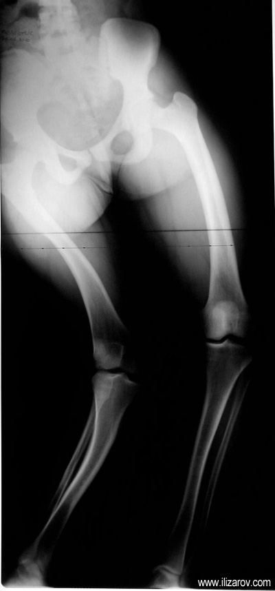
In hypophosohatemic rickets, abnormal bone findings become evident after 1 year of age; there are short stature and deformities around the knee (bilateral genu valgum or varum, tibial torsion, deformity at tibia and femur, ‘windswept’ deformity).

Before surgery, laboratory values are checked and the appropriate treatment is applied by the endocrinology department. The patients can be operated after they receive calcitriol (vitamin D) and phosphate treatment for at least 6 months and laboratory values return to normal. Endocrinologic follow-up continues after surgery.

Because the deformity caused by hypophosphatemic rickets is very close to the growth plate, a significant deformity and malalignment occurs. For that reason, more than one deformity centers (CORA) are found at preoperative evaluation, and osteotomy at more than one level is required to correct the deformity. The most frequently used methods to correct the deformity are acute or gradual deformity correction using the Ilizarov method or unilateral external fixator. In the ‘fixator assisted nailing’ technique, which is applied in our department, the deformity is corrected in an acute fashion with the help of an external fixator, and the extremity is stabilized by an intramedullaru nail. The external fixator is removed before the end of the surgery if no gradual lengthening is planned postoperatively. If lengthening (over nail) is planned, the fixator is removed after the completion of the lengthening procedure. As a result, the risk of pin tract infection is eliminated, correction loss and relapsing of the deformity (which are important problems in the treatment of hypophosphatemic rickets) are avoided, eary motion and full weight bearing are allowed, and comfortability of the patient is improved because the duration with external fixator is decreased.

Case 1
Case 2
Case 3
Case 4
Case 5
JBJS-FAN-CASES-2004.pdf
JBJS-Femur-FAN-LON-2009.pdf
JBJS-Tibia-FAN-LON-2010.pdf
The-advantages-KNEE-ART-2003.pdf
Deformite-Teknik-FAN.pdf